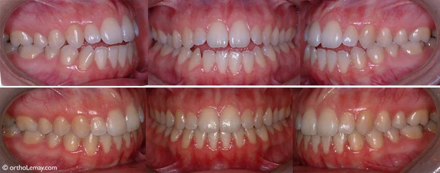
Dans tous les cas de dysmorphose buccales, on trouve une respiration buccale permanente ou temporaire, une déglutition atypique (interposition de la langue entre les arcades lors de la déglutition), une mastication désequilibrée et des problèmes de phonation plus ou moins prononcés.
En ce qui concerne le mal de dos il ya une relation systématique entre bouche et posture. Dans les cas de scoliose et mauvaise posture comment peut-on penser soigner ces pathologies sans s’occuper parallèlement de l’équilibre buccal.
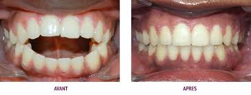
En pratique le patient porte un activateur adapté à sa bouche trois fois 20 minutes par jour, en pratiquant des exercices de déglutition et respiration. Il porte également l’activateur la nuit. Ainsi se fait une réeducation consciente (le jour) et inconsciente (la nuit).



